All articles
-
Health
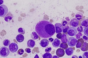
Progress against acute myeloid leukemia
A new drug compound developed by researchers at Massachusetts General Hospital and the Harvard Stem Cell Institute to treat acute myeloid leukemia is gentle enough to use with patients too frail to endure chemotherapy.

-
Campus & Community
Faculty Council meeting held Sept. 14
On September 14 the Faculty Council nominated a Parliamentarian for the 2016–2017 academic year and heard a presentation of a resolution by Professors Harry Lewis, Margo Seltzer, and Richard Thomas.
-
Health
Prospect of shorter treatment and cure for chronic myelogenous leukemia
Chronic myelogenous leukemia (CML) is a slowly progressing type of blood cancer that develops in the bone marrow. Researchers discovered that CML stem cells die in response to inhibition of a protein called Ezh2. Drugs that target the protein are currently being tested in clinical trials for other cancers.

-
Science & Tech
Testing the test questions
A group of researchers at the Harvard-Smithsonian Center for Astrophysics (CfA) has found a way for schools, professors, textbook publishers, and educational researchers to check the quality of their test questions that turns out to be both fast and cheap. It invokes the power of crowdsourcing.

-
Arts & Culture
The sacred in Harry Potter
Two graduates and a student of the Divinity School have found an audience with their podcast “Harry Potter and the Sacred Text,” about reading the famous series through a spiritual lens.

-
Health
Finally, hope for a young patient
A gene therapy trial points to a healthier future for a young patient suffering from a rare immune disease.

-
Campus & Community
William Kaelin wins Lasker Award
Harvard Medical School Professor William G. Kaelin Jr. was named the winner of the 2016 Lasker Award for Medical Research, America’s most prestigious biomedical award. He was honored for his work in the root causes of cancer.

-
Campus & Community
Nobel laureate Aung San Suu Kyi honored at Harvard
Nobel laureate Aung San Suu Kyi, who was the general secretary of the newly formed National League for Democracy (NLD) in Myanmar in 1990, will receive the Harvard Foundation’s 2016 Harvard Peter J. Gomes Humanitarian Award on Sept. 17.

-
Arts & Culture
The director and the whistle-blower
Filmmaker Oliver Stone tells a Kennedy School audience how he came to make a film about the fugitive former National Security Agency contractor Edward Snowden.

-
Campus & Community
Deeper creativity
New Dean of Arts and Humanities Robin Kelsey talks about his goals for the division.

-
Nation & World
Want to thwart criminals? Take away their cash
In his latest book, “The Curse of Cash,” Ken Rogoff, the Thomas D. Cabot Professor of Public Policy, argues that the elimination of big bills could help stem crime and even aid countries trying to rebound from financial collapse.

-
Arts & Culture
A prize of a weekend
The 100th anniversary of the Pulitzer Prizes brought leading lights from journalism and the arts to Harvard to reflect on accountability and the abuse of power.

-
Arts & Culture
LGBTQ Film Series lets ‘Baby Daddy’ creator do the talking
Actor Alec Mapa’s most recent project, “Alec Mapa: Baby Daddy” will be shown on Sept. 14 at 114 Mt. Auburn St. as part of Harvard’s LGBTQ Film Series.

-
Arts & Culture
Words aimed at action
Author Terry Tempest Williams is the guest speaker at the Environment Forum at the Mahindra Center, a new initiative convened by Dean of Arts and Humanities Robin Kelsey and history Professor Ian J. Miller.

-
Campus & Community
At HUBweek, ideas for living
With a wide array of events at the intersection of science, technology, arts, and ethics, HUBweek returns to Boston for a second year. Harvard, one of HUBweek’s founders, will host 14 of the 115 events.

-
Campus & Community
Youngsters find learning never slows down at the Ed Portal
As part of the first-ever Summer Explorations program at the Harvard Ed Portal, students enriched their learning experience. The program helps halt summer learning loss, which many experts say is a key step in closing the achievement gap.

-
Nation & World
From captivity to classroom
Jason Rezaian, the Washington Post reporter who was imprisoned for 543 days by Iranian authorities before the U.S. government negotiated his release in January in tandem with the Iran nuclear deal, joins the 79th class of Nieman Fellows this fall. His wife, Yeganeh, is a Shorenstein fellow.

-
Nation & World
Examining U.S.-Mexico ties in the age of Trump
Harvard’s expert in Latin America, Davíd Carrasco, spoke with the Gazette about Mexico, which has taken center stage in the 2016 U.S. presidential campaign, and the long relationship between the two neighboring countries.

-
Science & Tech
Asteroid mission will carry student X-ray experiment
At 7:05 p.m. (EDT) today, NASA plans to launch a spacecraft to a near-Earth asteroid named Bennu. Among that spacecraft’s five instruments is a student experiment that will use X-rays to help determine Bennu’s surface composition.

-

-
Campus & Community
New Harvard fellowship puts public service in spotlight
The College’s new Harvard Presidential City of Boston Fellowship will create paths to meaningful public service opportunities in Boston City Hall.

-
Health
A cinematic approach to drug resistance
Scientists at Harvard Medical School and Technion-Israel Institute of Technology have built a giant petri dish to visually demonstrate how bacteria move as they become immune to drugs.

-
Campus & Community
Rising to the challenge
Four Harvard students were among the finishers of the famed Leadville Trail 100 Run, a 100-mile race through the mountains of Colorado.

-
Arts & Culture
Smith gives voice to broken promise
Anna Deavere Smith is back at the American Repertory Theater with a one-woman show aimed at failures in the U.S. education system.






