All articles
-
Science & Tech
Eclipses, through the years
As photography developed, Harvard astronomers embraced it as a scientific means to understand the sky.

-
Arts & Culture
Dirtying their hands to grasp Viking history
While many of their peers were relaxing, a handful of Harvard students spent their summer immersing themselves in Viking history on a remote Danish island.

-
Campus & Community
A dream realized, and paid forward
Allston resident and Harvard intern Jose Mendoza is giving back to the Ed Portal, which he credits for shaping him and his community.

-
Science & Tech
No harm, no foul
Researchers at SEAS, the Wyss Institute, and Nanyang Technological University in Singapore have developed a nontoxic coating that deters marine life from attaching to surfaces in a breakthrough for maritime travel and commerce.

-
Health
Brain may be far more flexible than thought
New research from Harvard Medical School casts doubt on the prevailing model of memory formation, suggesting that the brain may be far more flexible.

-
Nation & World
Cheaper estimate for Boston rail link
The price tag for constructing a long-discussed north-south rail link between Boston’s North and South stations is now estimated at $4 billion to $6 billion, much less than prior estimates, according to a new study.

-
Campus & Community
Lab learning scores with teen athletes
The Cambridge-Harvard Summer Academy invites area high school students to participate in a hands-on lab class work at Harvard.

-
Campus & Community
Two advisory committees named
Harvard’s presidential search committee, comprising the 12 members of the University’s Corporation other than the president along with three members of the Board of Overseers, has announced the membership of the faculty and staff advisory committees for the search.

-
Health
Cancer alarm at the firehouse
Harvard researchers have teamed with local departments to examine cancer hazards contained in firehouse life.

-
Health
Bad knees through the ages
A new Harvard study is the first to definitively show that the prevalence of knee osteoarthritis has dramatically increased in recent decades.

-
Campus & Community
What I did on my Summer Explorations
A cross between camp and summer school, the Harvard Ed Portal program lets kids learn by having fun.

-
Nation & World
Nation’s opioid emergency shows in findings on ICUs
Investigators at Harvard-affiliated Beth Israel Deaconess Medical Center reported a sharp rise in opioid-related admissions and deaths in U.S. intensive care units since 2009.

-
Campus & Community
Remembering Fred Glimp
Fred Lee Glimp Jr. ’50, Ph.D. ’64, who gave 50 years of service to Harvard, passed away in June at the age of 91.

-
Nation & World
Gauging the bias of lawyers
Political scientist Maya Sen discusses why she believes that, despite accusations by the president and many on the right, a lawyer’s history of political donations to Democrats isn’t proof of professional bias.

-
Health
Seeing promise, and limits, in embryo edit
The disease-targeting embryo edit at Oregon Health & Science University signals a path for “those rare situations where the genes really are life-threatening,” says Harvard bioethicist Robert Truog.

-
Science & Tech
Viewing the solar eclipse? There’s an app for that
The Smithsonian and Harvard have released an interactive app ahead of the 2017 total solar eclipse, giving Americans a front-row seat to a rare celestial event.

-
Nation & World
First interned, then left behind
A paper co-authored by Harvard economist Daniel Shoag found that Japanese-Americans who were sent to internment camps in poorer regions fared worse than those who were sent to richer areas, and the economic disadvantage persisted for generations.

-
Health
Buried in health care imbroglio, trillion-dollar questions
After the Senate’s failure to reform Obamacare, Harvard economist David Cutler assesses what occurred and what the future might hold.

-
Health
Digitization uncovers pre-WWII fossil loan
Digitization of Harvard’s fossil insect collection produced a surprising twist: The return to Germany of hundreds of Eocene insects frozen in amber.

-
Science & Tech
Gauging street change over time
Study uses computer vision algorithm to study Google Street View images to show urban shifts.

-
Health
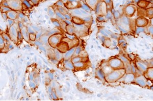
First draft of a genome-wide cancer ‘dependency map’
Researchers have identified more than 760 genes upon which cancer cells of multiple types are strongly dependent for their growth and survival.

-
Science & Tech
Robotic suit promotes normal walking in stroke patients
Wyss Institute’s soft, wearable, robotic suit promotes normal walking in stroke patients.

-
Health
When brains overvalue immediate rewards
Study finds psychopaths aren’t inhuman, but have a particular kind of brain wiring dysfunction.

-
Campus & Community
Harvard takes to the Twin Cities
President Drew Faust and University faculty explore changing times at Your Harvard event in Minnesota.

-
Campus & Community
Esperanza Spalding, Claire Chase join music faculty
Grammy-winning jazz star Esperanza Spalding and flutist Claire Chase will be Harvard professors starting in the 2017-2018 academic year.

-
Campus & Community
Scientific salsa
A Summer Explorations program gives young students a hands-on (and tasty) lesson in science to both engage and inspire.

-
Health
New insight on height, arthritis
New findings point to a surprising link between a genetic variant that favors shortness and an increased risk of osteoarthritis.



