All articles
-
Arts & Culture
Must-see guest for campus art lovers
A portrait by the French painter Jean-Honoré Fragonard helps highlight the loans that Harvard makes with other art institutions.

-
Nation & World
The mayors, who have to make government work
Forty mayors from the United States and overseas gathered in New York City for the inaugural session of the Bloomberg Harvard City Leadership Initiative, whose aim is to promote urban innovation.

-
Campus & Community
Year Up gives underserved youth a step up
Year Up graduates reflect on the Harvard-affiliated program that changed their lives.

-
Health
SEAL-tested, NASA-approved
Jonny Kim, a Harvard Medical School graduate and former Navy SEAL, has been selected to join NASA’s next astronaut class.

-
Nation & World
New questions in Russia probe
Rolf Mowatt-Larssen, director of the Belfer Center’s Intelligence and Defense Project, assesses revelations that in June 2016 top Trump campaign officials met with Russians who claimed they could deliver damaging information on Hillary Clinton.

-
Campus & Community
Charles M. Lieber named University Professor
Acclaimed chemist Charles M. Lieber has been named a University Professor and is the first to receive the Joshua and Beth Friedman University Professorship.

-
Campus & Community
Bridge of sorrow, by way of Faulkner
For more than 50 years, Faulkner fans have worked to commemorate a beloved character with a secret memorial on the Anderson Memorial Bridge.

-
Health
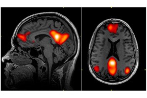
Finding signs of life when it matters most
An MGH study has found that the use of fMRI and EEG may provide early detection of consciousness in patients with severe traumatic brain injury.

-
Science & Tech
Last survivors on Earth
A testament to the resiliency of life, the microscopic tardigrade can survive any cosmic calamity, according to an Oxford-Harvard study.

-
Science & Tech
Scientists are using the universe as a ‘cosmological collider’
Using universe as cosmological collider could provide information that leads to the sign of new physics.

-
Health
Making cancer vulnerable to immune attack
CRISPR-Cas9 genome editing technology revealed a promising new class of cancer immunotherapy.

-
Arts & Culture
For Harvard neurologist, words lead to ‘action!’
Harvard neurologist Howard Weiner is winning praise as a film director for his feature “The Last Poker Game.”

-
Science & Tech
Wielding chainsaws for science
A collaboration between the Arnold Arboretum and the U.S. Forest Service has the two organizations, which typically fight tree pests, rearing wood-boring beetles for science.

-
Health
Older, heavier, more at risk
A new study shows weight gain during young and middle adulthood may increase risk of chronic diseases and premature death, and decrease the likelihood of achieving healthy aging.

-
Campus & Community
Harvard School of Dental Medicine to fête 150 years
Harvard School of Dental Medicine honored by Boston City Council on its 150th anniversary.

-
Work & Economy
Finance meets humanities — really
Economist Mihir Desai sets aside his usual academic work in a new book in which he uses plain language and stories drawn from literature and art to explain the basic principles of finance and show how deeply they are rooted in the humanities.

-
Health
Understanding how the intestine replaces and repairs itself
When working stem cells within the intestine are depleted, some types of mature cells can transform themselves into stem cells, replenishing the population.

-
Campus & Community
Remembering S. Allen Counter
S. Allen Counter, a neurophysiologist, educator, ethnographer, and founding director of the Harvard Foundation for Intercultural and Race Relations, died on July 12.

-
Science & Tech
New CRISPR technology takes cells to the movies
CRISPR system-based technology enables the chronological recording of digital information, turning living cells into a biological hard drive that can record information.

-
Campus & Community
New director for Harvard University Press
Provost Alan Garber announced the appointment of George Andreou as director of the Harvard University Press, beginning in September.

-
Campus & Community
Harvard launches presidential search
The Harvard Corporation has launched the search for a new president of Harvard University, in light of Drew Faust’s recent announcement that she will step down at the end of the 2017–18 academic year.

-
Arts & Culture
Thoreau at Walden, and at Houghton
Harvard Professor Emeritus Lawrence Buell reflects on the lasting importance of Henry David Thoreau’s “Walden” on the 200th anniversary of the author’s birth.

-
Health
Whole brain imaging
New research led by Professor Jeff Lichtman opens a path to deeper insight on brain action behind certain behaviors.

-
Nation & World
Sampling innovations in teaching and learning
In year-end showcase, Bok Center showcases new approaches for innovative teaching and learning.

-
Science & Tech
Research may provide the tools to create better schools
Harvard and MIT study reveals that cognitive science field experiments are critical to understanding human learning and education.

-
Health
Probing protein diversity
A team of researchers has found that the stability plays a key role in the evolution of different protein structures.

-
Science & Tech
Reconciling predictions of climate change
Harvard researchers are able to provide a best estimate regarding how much the Earth will warm as a result of doubled CO2 emissions.



